医療機器紹介
内視鏡システム

富士フィルム ELXEO7000
富士フィルム社の最新内視鏡システムとスコープを使用しています。
超音波診断装置

キャノン Xario200G
超音波を用いて、腫瘍などを非侵襲的に見つけ出します。痛みや放射線による被ばくの心配がなく、体への負担の少ない検査です。
レントゲン(X線)装置

島津製作所 X’sy Pro
胸部、腹部など様々な部位をX線を使用して撮影します。検査時間は短く、少ない被ばく量で明瞭な画像を得られます。撮影した画像はすぐに見ることができます。
画像診断システム

富士フィルム CARNACORE
内視鏡、超音波、レントゲンの各種画像を取り込み、すぐに閲覧することが可能です。レントゲンを使用した骨密度測定もできます。
血球計数・臨床化学・蛋白質分析装置

フクダ電子 LC-710

Yumizen M100 Banalyst

LT-130
血液中の白血球・赤血球数やCRP・HgbA1cを院内で測定できます。1時間以内に結果が出ますので、当日に結果説明が可能です。
心電図検査装置

フクダ電子 FCP-8200
心電図を測定し、自動で波形を解析します。
一酸化炭素ガス分析装置

フクダ電子 マイクロCOモニター
呼気中の一酸化炭素濃度を測定することにより、喫煙状況が分かります。禁煙の動機づけや禁煙治療の際に使用します。
感染症検査分析装置
現在、準備中です。
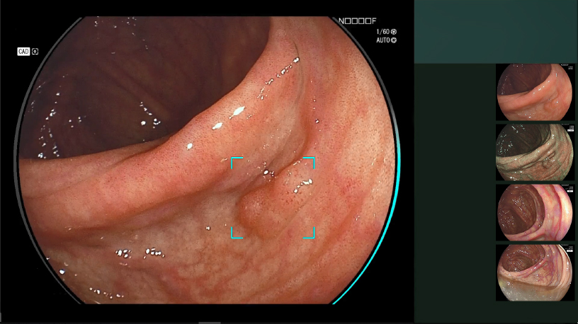
4色のLED光源搭載の富士フィルム社内視鏡システム『ELXEO(エルクセオ)』を導入しています。
照射した光と画像処理を組み合わせる「マルチライトテクノロジー」により、粘膜表層の微細な血管や構造を強調するなど、目的に応じた観察画像を作り出す4色のLED光源搭載の内視鏡システム『ELXEO7000』を導入しています。
通常の観察画像です。
短波長狭帯域光と白色光の成分をバランスよく照射。そのあとソフトウェアにより、赤みを帯びた色はより赤く、白っぽい色はより白くなるように色の拡張・縮小を行い、粘膜の微妙な色の違いを強調します。これにより腫瘍や炎症の検出が容易となり、通常観察と比べ1.67倍上部の腫瘍性病変の拾い上げが可能と報告されました(多施設無作為比較試験LCI-FIND試験より)。
短波長狭帯域光の商社により得られる高コントラストな信号に対して画像処理を行い、血管や表面構造などの観察に適した画像を表示します。
手元のダイヤルを回すことで、簡単にスコープの硬度を調整することができ、患者様の負担を軽減します。
手元のボタンで、段階的に画像を拡大することができます。最大145倍までの拡大観察を行ことが可能です。



下部内視鏡(大腸カメラ)時には、炭酸ガス装置(富士フィルムGW-100)を使用しています。炭酸ガスは、空気と比べて消化管からの吸収が速やかで優れているため、検査時の腹部膨満感からくる苦痛を軽減するこができます。
使用後の内視鏡は、日本消化器内視鏡学会作成の『消化器内視鏡の洗浄・消毒標準化にむけたガイドライン』に則した洗浄消毒を行っています。富士フィルムの内視鏡洗浄消毒器では、高い洗浄力をもつアルカリ洗剤と優れた消毒能をもつ過酢酸を使用することにより、効率よく洗浄消毒を行います。